All Dental Tampa Palms
SE HABLA ESPAÑOL!

Smile Gallery

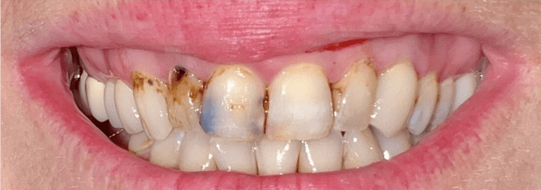
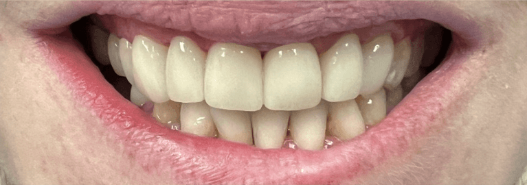
Dreaming of a makeover to restore damaged teeth or enhance your smile? Get inspired by some of the improvements we've created for our actual patients, then give us a call to get started with your smile transformation

Still need an appointment?
Smile Gallery Categories
Real Invisalign Patient Testimonial
If you have difficulty using our website, please email us or call us at (813) 544-7023
View the ADA Accessibility Statement
Privacy Policy